Новини

Ілюзія зцілення та незворотність часу — роль УЗД у діагностиці псоріатичного артриту

Прокопович Наталя — 18 березня 2026
399
Ілюзія зцілення та незворотність часу — роль УЗД у діагностиці псоріатичного артриту Ілюзія зцілення та незворотність часу — роль УЗД у діагностиці псоріатичного артриту Ілюзія зцілення та незворотність часу — роль УЗД у діагностиці псоріатичного артриту Ілюзія зцілення та незворотність часу — роль УЗД у діагностиці псоріатичного артриту

Псоріатичний артрит — це хронічне імунозапальне захворювання, яке не обмежується лише шкірою чи суглобами. Воно може розвиватися поступово й непомітно, навіть тоді, коли симптоми здаються контрольованими.

Хвилеподібний перебіг часто вводить в оману: періоди покращення створюють відчуття стабільності, тоді як структурні зміни можуть прогресувати без явних проявів.

Саме тому в ревматології ключову роль відіграє не тільки діагноз, а й своєчасний початок лікування — так зване «вікно можливостей», коли ще можна запобігти незворотним ураженням.

Клінічний випадок

Пацієнт, 42 роки. Перші симптоми з’явилися 3 роки тому: асиметричне ураження дрібних суглобів кистей, гомілковостопного суглоба та біль у п’ятах.

Невеликі лускаті бляшки на ліктях пацієнт не пов’язував із захворюванням, вважаючи їх реакцією на стрес.

На первинному прийомі було встановлено діагноз псоріатичного артриту та рекомендовано терапію метотрексатом.

Пацієнт відмовився від лікування через побоювання побічних ефектів і обрав альтернативні методи.

Що відбулося далі

Протягом 3 років застосовувалися:

  • гомеопатія;
  • аюрведичні практики;
  • елімінаційні дієти.

Періоди тимчасового покращення сформували у пацієнта відчуття ефективності такого підходу.

Повторне звернення — вже при вираженому загостренні, яке не відповідало на НПЗП.

Стан на момент огляду

  • набряк і деформація дрібних суглобів кистей;
  • дактиліт («сосископодібні» пальці);
  • ентезити в ділянці п’ят;
  • псоріатичні бляшки та ураження нігтів.

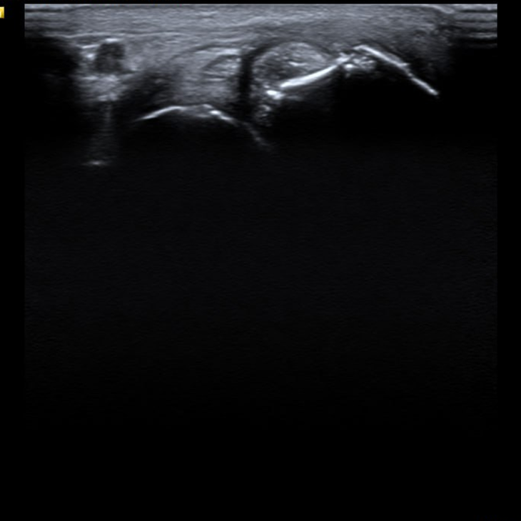
Діагностика

Рентген — без специфічних змін.

УЗД — чіткі ознаки структурного ураження:

  • ерозії кістки;
  • синовіт;
  • випіт у суглобах.

Рішення

Призначено комбіновану терапію: метотрексат + адалімумаб.

Важливий момент: саме результати УЗД стали переломним фактором — пацієнт побачив реальні зміни й почав дотримуватися лікування.

Чому це важливо

УЗД дає можливість:

  • виявити ураження раніше, ніж рентген;
  • оцінити м’які тканини та ентезиси;
  • контролювати активність запалення;
  • підвищити довіру пацієнта до лікування.

Висновок

Альтернативні методи можуть створювати відчуття контролю, але не впливають на механізм хвороби.

У псоріатичному артриті час — критичний ресурс. І саме сучасна діагностика дозволяє не втратити його та діяти вчасно.